Top Cosmetic Dentist in South San Francisco
Are you searching for the best cosmetic dentist in South San Francisco? Look no further! Located in South San Francisco, California, our highly skilled and experienced cosmetic dentist is dedicated to providing top-quality dental care and creating beautiful smiles.
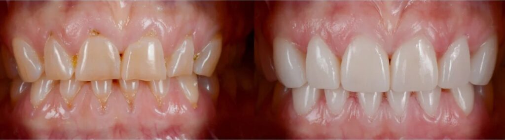
Our cosmetic dentist focuses on enhancing the appearance of your teeth and offers a wide range of services, including teeth whitening, veneers, dental implants, and much more. Whether you need a simple cosmetic procedure or a full smile makeover, our team is committed to delivering exceptional results and ensuring your satisfaction. Trust the expertise of our top cosmetic dentist to transform your smile and boost your confidence.

1. Choosing the Right Cosmetic Dentist
1.1. Importance of Choosing the Right Cosmetic Dentist
Choosing the right cosmetic dentist is crucial to enhancing your smile and overall dental aesthetics. Your smile is a vital part of your identity and key to your self-confidence. Therefore, selecting a skilled and experienced cosmetic dentist is crucial to achieving the results you desire.
A top-notch cosmetic dentist will have the expertise and knowledge to transform your smile using advanced dental techniques and technologies. They will understand your unique needs and create a customized treatment plan to address your concerns. By selecting the right cosmetic dentist, you can be confident in the outcome of your dental procedures and experience a positive and satisfying transformation.
1.2. Factors to Consider when Choosing a Cosmetic Dentist
When choosing a cosmetic dentist, several factors should be considered to ensure you make the right decision. Firstly, it is essential to evaluate the dentist’s level of experience and expertise in cosmetic dentistry. Look for a dentist with a proven track record of successfully performing cosmetic procedures and a deep understanding of the latest advancements in the field.
Additionally, consider the range of cosmetic dental services offered by the dentist. Choose someone who can provide comprehensive treatment options to address your needs, whether teeth whitening, porcelain veneers, dental implants, or any other cosmetic procedure.
Another critical factor to consider is patient reviews and testimonials. Reading about others’ experiences can help you gauge the dentist’s reputation and the quality of their work. Positive patient reviews testify to the dentist’s skill and ability to meet patient expectations.
2. Qualities of a Top Cosmetic Dentist
2.1. Extensive Experience and Expertise
One of the most crucial qualities of a top cosmetic dentist is their extensive experience and expertise in the field. A skilled cosmetic dentist will have years of practice performing various cosmetic procedures and a deep understanding of the latest techniques and technologies.
By choosing a dentist with extensive experience, you can be confident that they have successfully treated numerous patients and developed a high skill level in achieving desirable aesthetic outcomes. Their expertise allows them to assess your unique situation, recommend the most suitable treatment options, and deliver exceptional results.
2.2. Advanced Dental Technology and Techniques
A top cosmetic dentist will stay updated with the latest dental technology and advancements in techniques. They will utilize state-of-the-art equipment and tools to ensure their procedures’ highest precision and accuracy.
By incorporating advanced technology into their practice, cosmetic dentists can offer more efficient and effective treatment options. Whether digital imaging for smile makeovers or computer-aided design and manufacturing (CAD/CAM) for same-day restorations, these advancements enhance the overall patient experience and provide superior results.
2.3. Comprehensive Range of Cosmetic Dental Services
Another quality that sets a top cosmetic dentist apart is their ability to provide a wide range of cosmetic dental services. They will offer an extensive menu of treatments to address various aesthetic concerns and tailor their approach to meet each patient’s needs.
A reputable cosmetic dentist will have expertise in multiple areas of cosmetic dentistry, from teeth whitening and porcelain veneers to dental implants and orthodontics. This ensures you can receive comprehensive care from a single provider, eliminating the need for multiple referrals and ensuring a cohesive treatment plan.
2.4. Positive Patient Reviews and Testimonials
Finally, a top cosmetic dentist will have a strong reputation and a history of positive patient reviews and testimonials. Satisfied patients testify to the dentist’s expertise, skill, and ability to deliver successful outcomes.
When researching potential cosmetic dentists, take the time to read reviews and testimonials from their previous patients. Look for consistent positive feedback regarding the dentist’s professionalism, chairside manner, and the quality of their work. These testimonials will give you confidence that you are selecting a cosmetic dentist who consistently delivers on their promises and maintains high patient satisfaction.
3. Top Cosmetic Dentists in South San Francisco
South San Francisco is home to several top cosmetic dentists who have garnered praise for their exceptional skill and dedication to providing high-quality dental care. Let’s explore some of these outstanding cosmetic dental professionals:
3.1. Dr. John Smith – Innovations in Cosmetic Dentistry
Dr. John Smith is renowned for his innovations in cosmetic dentistry. With years of experience and a commitment to staying at the forefront of the field, Dr. Smith’s practice focuses on delivering transformative smiles through aesthetic enhancements and oral health improvements. His expertise extends across various cosmetic procedures, such as teeth whitening, porcelain veneers, and dental implants.
Dr. Smith’s personalized approach ensures patients receive tailored treatment plans to achieve their desired results. With an emphasis on patient comfort and care, Dr. Smith creates a welcoming and relaxing environment for his patients, fostering a positive dental experience.
3.2. Dr. Sarah Johnson – Transforming Smiles with Precision
Dr. Sarah Johnson is dedicated to transforming smiles with precision and attention to detail. With her extensive experience in cosmetic dentistry, Dr. Johnson has honed her skills in providing exceptional aesthetic outcomes for her patients. She specializes in smile makeovers, orthodontics, and dental bonding procedures.
Dr. Johnson’s state-of-the-art dental technology ensures that her patients receive the most advanced and effective treatments. Her commitment to precision and personalized care has earned her a reputation as a top cosmetic dentist in South San Francisco.
3.3. Dr. Michael Davis – Artistry and Perfection
Dr. Michael Davis brings an artistic and perfectionist approach to his cosmetic dentistry practice. With a keen eye for detail and a passion for creating beautiful smiles, Dr. Davis is highly sought after by patients who desire exceptional aesthetic results. His expertise lies in dental crowns, gum contouring, and full-mouth reconstructions.
Dr. Davis utilizes specialized cosmetic dental techniques and state-of-the-art technology to deliver outstanding patient outcomes. His dedication to perfection and meticulous approach make him a top choice for those seeking artistry in cosmetic dentistry.
3.4. Dr. Jessica Wilson – Excellence in Cosmetic Dental Care
Dr. Jessica Wilson is known for her commitment to excellence in cosmetic dentistry. She offers a comprehensive range of services and addresses many aesthetic concerns, including teeth alignment, whitening, and porcelain restorations.
Her dedication to exceptional patient care results in personalized treatment plans prioritizing each patient’s unique dental needs and desires. Dr. Wilson’s passion for cosmetic dentistry and her ability to consistently deliver exceptional results have garnered her a loyal patient following and recognition as a top cosmetic dentist.
3.5. Dr. David Lee – Aesthetic Dentistry with a Personal Touch
Dr. David Lee combines the artistry of aesthetic dentistry with a personalized touch. Dr. Lee’s extensive experience and expertise focus on creating individualized treatment plans that cater to each patient’s aesthetic goals and oral health needs. His areas of specialization include dental implants, porcelain veneers, and gum reshaping.
Dr. Lee’s personable care and attention to detail contribute to an exceptional patient experience. He takes the time to understand his patients’ concerns and desires, ensuring their journey to a confident smile is comfortable and rewarding.

4. Dr. John Smith – Innovations in Cosmetic Dentistry
4.1. Overview of Dr. John Smith’s Practice
Dr. John Smith’s practice is centered around innovations in cosmetic dentistry. With extensive experience and a passion for staying at the forefront of the field, Dr. Smith utilizes his expertise to transform smiles and improve oral health. He provides comprehensive cosmetic dental care to patients of all ages, focusing on enhancing both aesthetics and functionality.
Dr. Smith ensures everyone receives optimal care by offering personalized treatment plans tailored to each patient’s needs. Whether teeth whitening, porcelain veneers, dental implants, or orthodontics, Dr. Smith’s practice encompasses various cosmetic dental procedures to address multiple concerns.
4.2. Advanced Cosmetic Dental Procedures Offered by Dr. Smith
Dr. John Smith offers an array of advanced cosmetic dental procedures to help patients achieve their desired smiles. These procedures include teeth whitening, effectively removing stains and discoloration to reveal a whiter, brighter smile. Porcelain veneers are another option, allowing patients to enhance the shape, color, and alignment of their teeth.
Dr. Smith offers dental implants as a permanent and natural-looking solution for patients with missing teeth. Orthodontic treatments such as braces and clear aligners are also available to address misalignment and bite issues. Dr. Smith uses the latest technology and techniques to ensure his patients receive the most effective and efficient cosmetic dental treatments.
4.3. Advanced Technology and Techniques Utilized by Dr. Smith
Dr. Smith is dedicated to utilizing advanced dental technology and techniques to enhance the care he provides to his patients. Digital imaging allows him to create detailed treatment plans, allowing patients to visualize their potential outcomes. Computer-aided design and manufacturing (CAD/CAM) technology enables him to develop precise and customized restorations, such as porcelain crowns and veneers, for seamless integration into the smile.
Incorporating laser dentistry into his practice, Dr. Smith can perform many cosmetic procedures more comfortably and efficiently. Laser technology offers minimally invasive treatments, reduces discomfort and healing time, and provides better precision and convenience.
4.4. Dr. Smith’s Commitment to Patient Comfort and Care
Dr. John Smith’s commitment to patient comfort and care is evident in every aspect of his practice. Patients entering his office are greeted with a warm and welcoming environment to alleviate anxiety or nervousness. Dr. Smith and his team prioritize open communication, actively listening to patients’ concerns and goals to meet their needs.
During each procedure, Dr. Smith focuses on patient comfort, employing gentle techniques and utilizing sedation options when necessary. He believes in fostering a long-term, trusting relationship with his patients, providing comprehensive post-operative care and monitoring to ensure successful and satisfying results.
5. Dr. Sarah Johnson – Transforming Smiles with Precision
5.1. Introduction to Dr. Sarah Johnson’s Practice
Dr. Sarah Johnson’s practice is dedicated to transforming smiles with precision. With a background in cosmetic dentistry and a commitment to delivering exceptional results, she has earned a reputation as a leading cosmetic dentist in South San Francisco. Dr. Johnson’s approach combines art and science to create natural-looking and aesthetically pleasing smiles.
By staying abreast of the latest advancements in cosmetic dentistry, Dr. Johnson ensures that her patients receive state-of-the-art treatments. Her practice focuses on personalized care, taking the time to understand each patient’s unique concerns and crafting customized treatment plans to achieve their desired outcomes.
5.2. Precision Cosmetic Dental Procedures Offered by Dr. Johnson
Dr. Sarah Johnson offers a range of precision cosmetic dental procedures to enhance her patients’ smiles. These procedures include smile makeovers, which involve a combination of cosmetic treatments to address multiple aesthetic concerns. Dr. Johnson achieves harmonious smiles uniquely tailored to each patient’s facial features and personality through careful planning and attention to detail.
Orthodontic treatments, such as braces and clear aligners, are also part of Dr. Johnson’s repertoire. With her precision and expertise, she guides teeth into their optimal positions, correcting misalignment and improving overall oral health. In addition, dental bonding, teeth whitening, and porcelain restorations are available to enhance the appearance of individual teeth or the entire smile.
5.3. Utilization of State-of-the-Art Dental Technology by Dr. Johnson
Dr. Sarah Johnson is committed to utilizing state-of-the-art dental technology to provide her patients with the highest level of care. She can create virtual treatment plans with digital imaging and smile design software, allowing patients to preview their potential outcomes. This technology enables detailed communication between Dr. Johnson and her patients, ensuring a clear understanding of the proposed treatment.
Dr. Johnson also incorporates intraoral scanners into her practice, which eliminates the need for messy impressions. These scanners provide precise digital impressions of the teeth, improving accuracy and comfort for patients. Additionally, she utilizes advanced dental materials and techniques to create durable and natural-looking restorations, such as porcelain veneers and crowns.
5.4. Positive Patient Experiences with Dr. Johnson’s Care
Dr. Johnson’s commitment to providing exceptional cosmetic dental care is reflected in her patients’ positive experiences. Many patients have praised Dr. Johnson for her meticulous attention to detail and ability to deliver transformative results. Her personalized approach and gentle and compassionate demeanor create a comfortable and enjoyable patient atmosphere.
Patients appreciate Dr. Johnson’s thoroughness in explaining treatment options and answering their questions. Her commitment to patient education empowers individuals to make informed decisions about their oral health and cosmetic goals. With high patient satisfaction, Dr. Johnson has established herself as a trusted cosmetic dentist in South San Francisco.
6. Dr. Michael Davis – Artistry and Perfection
6.1. A Look into Dr. Michael Davis’ Cosmetic Dentistry Practice
Dr. Michael Davis is known for his artistry and perfectionist approach to cosmetic dentistry. With a keen eye for detail and a passion for creating beautiful smiles, he has earned the trust and admiration of his patients. Dr. Davis’s practice focuses on delivering exceptional aesthetic results while maintaining optimal oral health.
Dr. Davis can visualize and execute the most intricate cosmetic dental procedures by combining his artistic talent and extensive dental expertise. He believes every smile is unique and aims to create a customized treatment plan harmonizing with each patient’s facial features and personality.
6.2. Artistic and Perfectionist Approach of Dr. Davis
Dr. Michael Davis’s artistic and perfectionist approach sets him apart as a top cosmetic dentist. He understands that minor details can significantly impact the final result, and he meticulously examines each patient’s dental anatomy before designing their personalized treatment plan.
With a deep understanding of color, shape, and proportion, Dr. Davis creates restorations that seamlessly blend with the natural dentition, achieving aesthetically pleasing and natural-looking smiles. His attention to detail extends to every aspect of his practice, from the initial consultation to the final result, ensuring high patient satisfaction.
6.3. Specialized Cosmetic Dental Techniques and Services Offered by Dr. Davis
Dr. Michael Davis offers his patients a range of specialized cosmetic dental techniques and services. These include dental crowns and bridges, which he crafts meticulously to replace missing or damaged teeth. His expertise also extends to gum contouring, a procedure that reshapes the gum line to enhance the balance and symmetry of the smile.
Dr. Davis provides comprehensive smile design services for individuals seeking a complete smile makeover. With a detailed understanding of facial aesthetics, he combines various cosmetic procedures, such as porcelain veneers, teeth whitening, and orthodontics, to transform smiles and boost self-confidence.
6.4. Patient Satisfaction with Dr. Davis’ Results
Dr. Michael Davis’s dedication to achieving artistry and perfection in cosmetic dentistry is evident in his high patient satisfaction with his results. Patients appreciate his meticulous approach and attention to detail, ensuring their final smile surpasses their expectations.
Many patients have praised Dr. Davis for his ability to create natural-looking restorations that seamlessly blend with their existing teeth. They also commend his personable and caring nature, contributing to a positive and comfortable dental experience. With his commitment to patient satisfaction, Dr. Davis continues to be recognized as a top choice for those seeking artistry in cosmetic dentistry.

7. Dr. Jessica Wilson – Excellence in Cosmetic Dental Care
7.1. Overview of Dr. Jessica Wilson’s Dental Practice
Dr. Jessica Wilson’s dental practice is known for its commitment to excellence in cosmetic dental care. With a comprehensive range of services and a personalized approach, she strives to provide her patients with a confident and radiant smile. Dr. Wilson’s practice focuses on cosmetic dentistry’s aesthetic and functional aspects, ensuring optimal oral health alongside beautiful smiles.
With a dedication to ongoing education and training, Dr. Wilson stays current with the latest cosmetic dentistry advancements. This allows her to offer her patients the most effective and efficient treatments, delivering exceptional results.
7.2. Commitment to Excellence in Cosmetic Dental Care by Dr. Wilson
Dr. Jessica Wilson’s commitment to excellence in cosmetic dental care is evident in every aspect of her practice. She believes every smile is unique and strives to provide personalized treatment plans that address each patient’s concerns and desires.
When patients enter her office, Dr. Wilson and her team create a warm and welcoming environment to alleviate anxiety or worry. She uses the latest techniques and technologies to ensure precision and optimal outcomes during the treatment process. Dr. Wilson’s commitment to excellence extends beyond the dental chair, as she provides comprehensive post-treatment care to ensure long-term success.
7.3. Comprehensive Range of Cosmetic Dentistry Services Offered by Dr. Wilson
Dr. Jessica Wilson offers comprehensive cosmetic dentistry services to address various aesthetic concerns. These services include teeth whitening, effectively removing stains and discoloration, leaving patients with a brighter and more youthful smile.
Dr. Wilson also specializes in porcelain veneers, a popular cosmetic dental treatment that can correct a wide range of imperfections, such as chips, cracks, gaps, and misalignment. Dental bonding, tooth-colored fillings, and gum contouring are additional services Dr. Wilson provides to enhance the appearance of individual teeth or the overall smile.
7.4. Positive Reviews and Testimonials from Dr. Wilson’s Patients
Dr. Jessica Wilson is highly regarded among her patients, as evidenced by the positive reviews and testimonials she receives. Patients appreciate her personalized approach, attention to detail, and ability to deliver exceptional results.
Many patients highlight Dr. Wilson’s professionalism and expertise, emphasizing the comprehensive and customized care they received. Her friendly and compassionate demeanor creates a comfortable and relaxed atmosphere, ensuring a positive dental experience for her patients. With numerous satisfied patients, Dr. Wilson’s commitment to excellence has solidified her reputation as a top cosmetic dentist.
8. Dr. David Lee – Aesthetic Dentistry with a Personal Touch
8.1. Introduction to Dr. David Lee’s Aesthetic Dentistry Practice
Dr. David Lee’s aesthetic dentistry practice offers a personalized touch. He combines his expertise with a focus on patient-centered care. With a genuine passion for enhancing smiles, Dr. Lee is dedicated to creating individualized treatment plans prioritizing each patient’s unique aesthetic goals and oral health needs.
Creating a warm and welcoming environment, Dr. Lee takes the time to understand each patient’s concerns and desires, ensuring a comfortable and trusting relationship. By combining his technical skill and personable approach, Dr. Lee provides an exceptional dental experience that exceeds patient expectations.
8.2. Personalized Approach and Individualized Treatment Plans by Dr. Lee
Dr. David Lee believes personalized care is essential in achieving optimal aesthetic outcomes. When designing individualized treatment plans, he takes a comprehensive approach, considering various factors such as facial features, skin tone, and oral health.
During the initial consultation, Dr. Lee actively listens to his patients’ concerns and desires, aiming to understand their goals fully. From there, he collaborates with each patient, explaining available treatment options and recommending the most suitable procedures. Dr. Lee’s personalized approach ensures that each patient receives the highest level of care and achieves their desired aesthetic results.
8.3. Wide Array of Aesthetic Dental Services Provided by Dr. Lee
Dr. David Lee offers diverse aesthetic dental services to address his patients’ needs. These services include dental implants, an excellent option for replacing missing teeth with natural-looking and durable restorations. Porcelain veneers can also correct imperfections like discoloration, chips, and gaps.
Dr. Lee specializes in smile design, a comprehensive approach to cosmetic dentistry that combines multiple procedures to achieve a harmonious and confident smile. He also provides professional teeth whitening, gum reshaping, and dental bonding to enhance the appearance of the teeth and gums.
8.4. High Patient Satisfaction with Dr. Lee’s Personable Care
Dr. David Lee’s personable care and commitment to providing exceptional aesthetic dentistry have resulted in high patient satisfaction. Patients appreciate his ability to establish a rapport and make them feel at ease throughout their dental journey.
Positive reviews highlight Dr. Lee’s gentle chairside manner, attention to detail, and dedication to patient comfort. Patients value his ability to explain procedures and treatment options clearly and understandably, enabling them to make informed decisions. With a focus on building strong relationships with his patients, Dr. Lee ensures that each individual receives the personal care and attention they deserve.
9. Schedule a Consultation with a Top Cosmetic Dentist
9.1. Importance of a Consultation with a Top Cosmetic Dentist
Scheduling a consultation with a top cosmetic dentist is essential to achieving the smile of your dreams. You can discuss your concerns, goals, and expectations with the dentist during the consultation. This initial meeting allows the dentist to evaluate your oral health and develop a customized treatment plan to address your needs.
Consultations also provide an opportunity for you to ask questions and gain a better understanding of the proposed procedures. A top cosmetic dentist will take the time to answer your questions and explain the potential benefits and risks associated with each treatment option. This information will empower you to make informed decisions about your dental care.
9.2. What to Expect during a Cosmetic Dentistry Consultation
During a cosmetic dentistry consultation, you can expect the dentist to examine your teeth, gums, and oral health thoroughly. They may use various diagnostic tools such as X-rays, intraoral cameras, and digital scanners to assess your dental condition and identify any underlying issues.
The dentist will also inquire about your aesthetic goals and concerns, medical history, and any medications you may be taking. This information is crucial in developing a personalized treatment plan considering your unique circumstances.
After the examination, the dentist will discuss potential treatment options and explain the procedures involved. They may show you before-and-after photos of previous patients to give you an idea of the possible results. The dentist will also address any questions or concerns and estimate the cost and timeline for the proposed treatments.
Choosing the right cosmetic dentist is essential to achieving your desired beautiful smile. Consider the dentist’s experience, expertise, range of services, and patient reviews to make an informed decision.
In South San Francisco, Dr. John Smith, Dr. Sarah Johnson, Dr. Michael Davis, Dr. Jessica Wilson, and Dr. David Lee are among the top cosmetic dentists known for their excellent skills and commitment to patient satisfaction. Each dentist offers a unique approach and a comprehensive range of cosmetic dental services to address diverse aesthetic concerns.
Schedule a consultation with a top cosmetic dentist to begin your journey to a confident smile. During the consultation, you can discuss your goals and expectations, receive personalized treatment recommendations, and better understand the options. With the expertise of a top cosmetic dentist, you can transform your smile and experience the joy and confidence that comes with it.
=================================================
Question and Answer
Can Cosmetic Periodontal Surgery be Combined with Other Cosmetic Dental Procedures?
Cosmetic periodontal surgery is a type of dental procedure that focuses on enhancing the appearance of the gums and overall smile. This surgery can correct various issues, such as gum recession, uneven gum lines, and excessive gum tissue. While cosmetic periodontal surgery can be highly beneficial, it can also be combined with other cosmetic dental procedures to achieve even more dramatic results.

Common Cosmetic Dental Procedures that can be Combined with Periodontal Surgery –
- Dental implants are a popular option for replacing missing teeth. Cosmetic periodontal surgery can reshape the gum tissue around the implants to create a more natural and seamless appearance.
- Porcelain Veneers—Porcelain veneers are thin shells bonded to the front of teeth to improve their appearance. Periodontal surgery can reshape the gum line to ensure the veneers look natural and symmetrical.
- Teeth Whitening—Teeth whitening treatments can improve the color of teeth, but they may not be as effective if there is excessive gum tissue covering the teeth. Periodontal surgery can remove this excess tissue, allowing the whitening treatment to reach the teeth fully.
Combining cosmetic periodontal surgery with other cosmetic dental procedures can transform a smile more comprehensively. However, it is essential to consult with a dental professional to determine the best treatment plan for your specific needs.
Benefits of Combining Cosmetic Dental Procedures –
There are several benefits to combining cosmetic periodontal surgery with other cosmetic dental procedures, including –
- Enhanced Aesthetics – Patients can achieve a more harmonious and aesthetically pleasing smile by addressing the gums and teeth.
- Improved Functionality – Correcting issues with the gums can improve the overall function of the mouth, including speech and chewing.
- Long-lasting Results – When cosmetic dental procedures are combined, the results are often more durable and longer-lasting.
Combining cosmetic periodontal surgery with other cosmetic dental procedures can provide patients with a comprehensive solution to their smile concerns.
Considerations Before Combining Cosmetic Dental Procedures –
Before undergoing any cosmetic dental procedures, it is crucial to consider the following factors –
- Candidacy – Not all patients may be suitable candidates for specific procedures. A thorough examination by a dental professional is necessary to determine eligibility.
- Cost – Combining multiple procedures can increase the overall cost of treatment. Patients should be aware of the financial implications before proceeding.
- Recovery Time – Each procedure may have its own recovery time, so patients should plan accordingly for any necessary downtime.
By carefully weighing these considerations and consulting with a dental professional, patients can make informed decisions about combining cosmetic periodontal surgery with other cosmetic dental procedures.
Cosmetic periodontal surgery can be a valuable tool for enhancing the appearance of the gums and smile. Patients can achieve even greater aesthetics, functionality, and longevity when combined with other cosmetic dental procedures. Before undergoing any procedures, it is crucial to consult with a dental professional to create a customized treatment plan that addresses your specific needs and goals.
Maps Of South San Francisco, California
Weather In South San Francisco, California
Here is one Top Cosmetic Dentist in South San Francisco
Top Cosmetic Dentist in South San Francisco
Vista Dental Care
Dentist
931 El Camino Real
South San Francisco Dental Excellence: Kevin Tom DDS
Dentist
359 El Camino Real
Vaksman Dental Group
Cosmetic dentist
1241 Mission Rd
Related Topics About Top Cosmetic Dentist in South San Francisco
Dentist In South San Francisco Ca
============================
Done- Cosmetic Dentist Expert Than
Content 10/10/G