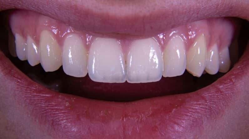
Professional in-office teeth whitening is a dental procedure performed by licensed dental professionals using concentrated bleaching agents and specialized equipment. The treatment typically achieves noticeable results in a single session, with teeth often becoming several shades lighter. The procedure involves applying a protective barrier to the gums, followed by the application of a whitening solution to the teeth.
Many treatments incorporate light activation or heat to enhance the bleaching process. The procedure begins with a dental examination to assess tooth condition and determine candidacy for whitening. Dentists customize treatment based on individual dental health, existing restorations, and desired outcomes.
The controlled clinical environment ensures proper safety protocols and minimizes risks such as gum irritation or tooth sensitivity. Treatment duration typically ranges from 60 to 90 minutes, depending on the specific system used and desired level of whitening. Results from professional whitening are immediately visible and generally last between six months to two years, depending on individual factors such as diet, smoking habits, and oral hygiene practices.
The procedure is most effective on teeth with yellow or brown discoloration caused by aging, food, or beverages, while it may be less effective on gray discoloration or stains caused by certain medications or dental trauma.
Key Takeaways
- Professional in-office and laser teeth whitening offer the fastest and most effective results.
- At-home kits, gels, trays, and whitening strips provide convenient options with moderate effectiveness.
- Whitening toothpaste, mouthwash, and charcoal methods offer mild whitening but are less impactful.
- LED whitening and teeth whitening pens are popular for quick touch-ups and ease of use.
- Natural remedies may help slightly but lack strong scientific backing compared to professional treatments.
At-Home Teeth Whitening Kits
If you prefer the convenience of whitening your teeth in the comfort of your own home, at-home teeth whitening kits offer a practical solution. These kits typically include custom trays or strips that are designed to fit your teeth and deliver a whitening gel directly onto the enamel. You can easily incorporate this routine into your daily life, allowing you to whiten your teeth while watching television or going about your evening routine.
Many people appreciate the flexibility that at-home kits provide, as you can choose when and how often to use them based on your schedule. However, it’s essential to choose a reputable at-home kit to ensure safety and effectiveness. Look for products that have been approved by dental associations or have positive reviews from users.
While at-home kits may not provide results as dramatic as professional treatments, they can still lighten your teeth by several shades over time. Consistency is key; following the instructions carefully and using the product as directed will yield the best results. With patience and dedication, you can achieve a brighter smile without ever stepping foot in a dental office.
Whitening Toothpaste and Mouthwash

Whitening toothpaste and mouthwash are popular options for those seeking a subtle enhancement to their smile without committing to more intensive treatments. These products contain mild abrasives and chemical agents designed to remove surface stains caused by food, beverages, and tobacco. You can easily incorporate them into your daily oral hygiene routine, making it a hassle-free way to maintain a brighter smile over time.
While they may not produce dramatic results like professional treatments, they can help keep your teeth looking fresh and clean. Using whitening toothpaste regularly can help prevent new stains from forming while gradually lightening existing discoloration. Many brands also offer additional benefits, such as cavity protection and fresh breath, making them a practical choice for overall dental health.
Mouthwash with whitening properties can complement your brushing routine, providing an extra layer of stain-fighting power. However, it’s important to remember that these products work best as part of a comprehensive oral care regimen that includes regular dental check-ups and cleanings.
Teeth Whitening Strips
Teeth whitening strips have gained popularity due to their ease of use and effectiveness. These thin, flexible strips are coated with a whitening gel that adheres to your teeth, allowing for targeted treatment of stains. You simply apply them according to the instructions—usually for about 30 minutes each day over a period of several days or weeks.
This method is particularly appealing because it allows you to whiten your teeth while going about your daily activities, whether you’re working at your desk or relaxing at home. One of the significant benefits of whitening strips is their affordability compared to professional treatments. They are widely available at drugstores and online, making them accessible for most people.
However, results can vary based on the brand and concentration of the whitening agent used. While some users may see noticeable improvements within a few days, others might require more time for optimal results. It’s essential to follow the instructions carefully and avoid overuse, as excessive application can lead to tooth sensitivity or gum irritation.
Charcoal Teeth Whitening
| Teeth Whitening Option | Average Treatment Time | Effectiveness | Cost Range | San Antonio Providers | Notes |
|---|---|---|---|---|---|
| In-Office Professional Whitening | 1-2 hours | High (up to 8 shades lighter) | 150 – 400 | Many dental clinics | Fast results, supervised by dentist |
| Custom Take-Home Whitening Kits | 1-2 weeks (daily use) | Moderate to High | 100 – 300 | Dental offices and specialists | Custom trays, gradual whitening |
| Over-the-Counter Whitening Strips | 1-2 weeks (daily use) | Moderate | 20 – 50 | Pharmacies and stores | Convenient, less potent |
| Whitening Toothpaste | 4-6 weeks (regular use) | Low to Moderate | 5 – 15 | Widely available | Removes surface stains only |
| Laser Teeth Whitening | 30-60 minutes | Very High | 300 – 600 | Specialized dental clinics | Advanced technology, quick results |
Charcoal teeth whitening has emerged as a trendy alternative in the quest for a brighter smile. Activated charcoal is known for its absorbent properties, which proponents claim can help remove stains from teeth effectively. You may find charcoal toothpaste or powders that you can use in place of your regular dental products.
The idea is that by brushing with charcoal, you can lift surface stains caused by coffee, tea, or other staining foods. While many people rave about their experiences with charcoal whitening, it’s important to approach this method with caution. The abrasive nature of charcoal can potentially wear down enamel if used excessively or improperly.
Additionally, scientific evidence supporting its effectiveness is limited; while some users report positive results, others may not see any significant change in their tooth color. If you decide to try charcoal whitening, consider consulting with your dentist first to ensure it’s a safe option for your dental health.
LED Teeth Whitening

LED teeth whitening has gained traction as an innovative approach to achieving a brighter smile quickly and effectively. This method combines a whitening gel with an LED light that accelerates the whitening process. You apply the gel to your teeth and then expose them to the LED light for a specified period, often resulting in noticeable improvements in just one session.
Many people appreciate this method for its speed; you can often complete the treatment in under an hour. The appeal of LED teeth whitening lies not only in its efficiency but also in its relatively low risk of sensitivity compared to other methods. The light helps activate the whitening agent without causing excessive heat or discomfort.
Many dental offices now offer this service as part of their cosmetic treatments, but there are also at-home kits available that allow you to achieve similar results on your own schedule. As with any whitening method, consistency and following instructions are crucial for achieving the best outcomes.
Natural Teeth Whitening Remedies
For those who prefer a more holistic approach to teeth whitening, natural remedies offer an appealing alternative. Common methods include using baking soda mixed with water to create a paste or swishing with apple cider vinegar diluted with water. These natural ingredients are believed to have mild abrasive properties that can help remove surface stains without harsh chemicals.
You might find these remedies appealing if you’re looking for cost-effective solutions that utilize items you likely already have at home. However, it’s essential to exercise caution when using natural remedies for teeth whitening. While they may be less abrasive than some commercial products, overuse can still lead to enamel erosion or gum irritation.
Additionally, results may vary significantly from person to person; some individuals may see improvements while others may not notice any change at all. If you choose to explore natural remedies, consider consulting with your dentist first to ensure they won’t negatively impact your oral health.
Teeth Whitening Gels and Trays
Teeth whitening gels and trays provide another effective option for those seeking a brighter smile from home. These kits typically include custom-fitted trays that hold the whitening gel against your teeth for an extended period—often overnight or for several hours during the day. The advantage of this method is that it allows for even distribution of the gel across all surfaces of your teeth, maximizing contact time and effectiveness.
Using gels and trays requires some commitment; you’ll need to wear them consistently over several days or weeks to achieve optimal results. However, many users appreciate the convenience of being able to whiten their teeth while they sleep or go about their daily routines. It’s crucial to follow the instructions carefully and avoid overusing the product, as excessive application can lead to tooth sensitivity or gum irritation.
With patience and diligence, you can achieve noticeable improvements in your smile.
Laser Teeth Whitening
Laser teeth whitening is one of the most advanced options available for achieving a bright smile quickly and effectively. This procedure involves applying a bleaching agent to your teeth and then using a laser light to activate it, resulting in rapid stain removal and significant color improvement in just one session. Many people opt for laser whitening due to its speed; you can often complete the treatment in under an hour while enjoying immediate results.
The precision of laser technology allows for targeted treatment that minimizes discomfort and maximizes effectiveness. Additionally, because this method is performed by trained professionals in a controlled environment, safety is prioritized throughout the process. While laser teeth whitening tends to be more expensive than other options, many individuals find that the immediate results justify the investment—especially if they have an upcoming event or simply want to enhance their everyday smile.
Teeth Whitening Pens
Teeth whitening pens offer a convenient solution for on-the-go touch-ups or quick fixes when you need an extra boost in brightness. These pens contain a concentrated whitening gel that you can easily apply directly onto your teeth whenever needed—whether you’re at work, traveling, or preparing for a night out. The compact size makes them easy to carry in your purse or pocket, allowing you to maintain your bright smile effortlessly.
While teeth whitening pens are not intended as a replacement for more intensive treatments, they can be an excellent addition to your oral care routine for maintaining results between professional sessions or at-home treatments. They are particularly useful for addressing minor stains or discoloration that may arise from daily habits like drinking coffee or tea. However, it’s essential to follow the instructions carefully and avoid overuse; excessive application could lead to sensitivity or uneven results.
Professional Custom Tray Teeth Whitening
Professional custom tray teeth whitening combines the benefits of personalized care with effective results tailored specifically for you. During this process, your dentist will create custom-fitted trays based on impressions of your teeth, ensuring that the whitening gel is evenly distributed across all surfaces. This method allows for maximum contact time with the gel while minimizing potential gum irritation—a common concern with less customized options.
The advantage of using custom trays is that they provide a more comfortable fit compared to generic options found in stores. You can wear them during the day or overnight based on your preference and schedule, making it easier to incorporate into your routine without disrupting daily life. With consistent use over several days or weeks, many individuals experience significant improvements in tooth color—often achieving results comparable to professional in-office treatments but with added convenience and flexibility.
In conclusion, there are numerous options available for achieving a brighter smile, each catering to different preferences and lifestyles. Whether you choose professional treatments or at-home solutions, understanding each method’s benefits and limitations will help you make an informed decision about which approach is best suited for you. With dedication and care, you can achieve the radiant smile you’ve always desired.
If you’re considering enhancing your smile with teeth whitening options in San Antonio, you might also find it helpful to explore the benefits of dental bridges. These can be an excellent solution for those looking to improve their overall dental aesthetics. For more information on this topic, check out the article on dental bridges.
FAQs
What are the most effective teeth whitening options available in San Antonio?
The most effective teeth whitening options in San Antonio include professional in-office whitening treatments, custom take-home whitening kits from dental offices, and over-the-counter whitening products such as whitening strips and gels. Professional treatments typically offer faster and more noticeable results.
How does professional in-office teeth whitening work?
Professional in-office teeth whitening involves applying a high-concentration bleaching gel, usually containing hydrogen peroxide, directly to the teeth. A special light or laser may be used to enhance the whitening process. This method can significantly whiten teeth in about one hour.
Are custom take-home whitening kits effective?
Yes, custom take-home whitening kits provided by dentists are effective. They include custom-fitted trays and professional-grade whitening gel. These kits allow for gradual whitening over one to two weeks and are safer and more comfortable than over-the-counter options.
Are over-the-counter teeth whitening products effective?
Over-the-counter products like whitening strips, gels, and toothpaste can be effective for mild staining and maintenance. However, they generally provide less dramatic results compared to professional treatments and may take longer to show noticeable changes.
Is teeth whitening safe for everyone?
Teeth whitening is generally safe for most people when done under professional supervision. However, it may not be suitable for individuals with sensitive teeth, gum disease, or certain dental restorations. A dental consultation is recommended before starting any whitening treatment.
How long do teeth whitening results last?
The longevity of teeth whitening results varies depending on the method used and individual habits. Professional whitening can last from six months to two years. Avoiding staining foods and drinks, such as coffee, tea, and red wine, can help maintain results longer.
Can teeth whitening damage my teeth?
When performed correctly, teeth whitening does not damage tooth enamel. However, overuse or improper application of whitening products can cause tooth sensitivity or gum irritation. It is best to follow professional guidance to minimize risks.
How much does teeth whitening cost in San Antonio?
The cost of teeth whitening in San Antonio varies by method. In-office professional whitening typically ranges from $300 to $600, while custom take-home kits may cost between $150 and $400. Over-the-counter products are generally less expensive, ranging from $20 to $100.
How do I choose the best teeth whitening option for me?
Choosing the best teeth whitening option depends on your budget, desired results, time availability, and dental health. Consulting with a local dentist in San Antonio can help determine the most effective and safe treatment tailored to your needs.