Cosmetic Dentist In Willy Street Williamson Marquette Madison Wisconsin Wis WI

Are you looking for a trusted cosmetic dentist in the vibrant community of Willy Street in Williamson Marquette, Madison, Wisconsin? Look no further! Our team of experienced professionals is dedicated to helping you achieve your dream smile. Whether you’re considering teeth whitening, porcelain veneers, or a complete smile makeover, we have the expertise and state-of-the-art equipment to deliver exceptional results. With a commitment to personalized care and a friendly environment, we strive to make your experience as comfortable as possible. Discover the difference a cosmetic dentist can make for your dental health and confidence.

Cosmetic Dentist In Willy Street Williamson Marquette Madison Wisconsin Wis WI

What is a cosmetic dentist?

Definition

A cosmetic dentist is a dental professional who specializes in improving the aesthetic appearance of a person’s smile. Unlike general dentistry, which focuses on the overall health and functionality of the teeth and gums, cosmetic dentistry places emphasis on enhancing the appearance of teeth, gums, and overall smile. A cosmetic dentist utilizes various procedures and techniques to correct imperfections such as discoloration, misalignment, gaps, and missing teeth.

Services offered

Cosmetic dentists offer a wide range of services to address different aesthetic concerns. These services include teeth whitening, dental veneers, dental implants, and Invisalign. They are also skilled in smile makeovers, gum contouring, tooth reshaping, and full mouth reconstruction. Each procedure is tailored to meet the individual needs and desires of the patient, resulting in a more confident and radiant smile.

Benefits of choosing a cosmetic dentist

Opting for a cosmetic dentist offers numerous advantages when it comes to achieving the smile of your dreams. Beyond the obvious cosmetic benefits, such as a whiter and straighter smile, choosing a cosmetic dentist can positively impact your overall health and boost your self-confidence. With their expertise and advanced techniques, cosmetic dentists can transform your smile, leaving you feeling more comfortable, confident, and ready to take on the world.

Importance of oral health

Overall health impact

Taking care of your oral health is essential not only for a beautiful smile but also for maintaining good overall health. Scientific studies have shown that poor oral hygiene can lead to a range of health problems, including heart disease, diabetes, and respiratory issues. By prioritizing oral health, you can reduce the risk of developing these serious conditions and improve your overall well-being.

Cosmetic benefits

Aesthetic concerns, such as discolored teeth, crookedness, or gaps, can significantly impact your self-esteem and confidence. By addressing these cosmetic issues, a cosmetic dentist can help you achieve the smile you have always wanted. Not only will your appearance improve, but you will also feel more comfortable expressing yourself freely and confidently.

Boosting self-confidence

A bright and beautiful smile can have a profound impact on your self-confidence. When you are proud of your smile, you are more likely to engage in social interactions, project confidence in professional settings, and enjoy a higher overall quality of life. A cosmetic dentist can help boost your self-esteem by improving the appearance of your teeth, giving you the confidence to smile freely and radiantly.

Qualities to look for in a cosmetic dentist

Experience

When searching for a cosmetic dentist, it is important to consider their level of experience. Look for a dentist who has years of hands-on experience in performing cosmetic procedures. An experienced cosmetic dentist will have a keen eye for detail and a deep understanding of different techniques, ensuring that you receive the highest quality of care and achieve the best possible results.

Education and certification

Ensure that the cosmetic dentist you choose has received appropriate education and certification in cosmetic dentistry. Look for a dentist who has completed additional training in cosmetic procedures, as this demonstrates a commitment to staying up-to-date with the latest advancements in the field. A well-qualified cosmetic dentist will have the knowledge and expertise to deliver optimal results.

Technology and techniques

Stay updated with the latest technology and techniques used in cosmetic dentistry. Advances in dental technology have revolutionized cosmetic dentistry, allowing for more efficient and precise treatments with minimally invasive procedures. Look for a cosmetic dentist who incorporates modern technology and techniques into their practice, as this can enhance the quality and comfort of your treatment.

Patient testimonials

Reading patient testimonials and reviews can give you valuable insights into the skills and expertise of a cosmetic dentist. Look for testimonials from patients who have had similar procedures and achieved successful results. Positive reviews can assure you that the cosmetic dentist is trusted and reliable, giving you peace of mind when choosing them for your cosmetic dental needs.

Common cosmetic dental procedures

Teeth whitening

Teeth whitening is a popular cosmetic dental procedure that helps to lighten the shade of the teeth, removing stains and discoloration. This non-invasive treatment can be performed in-office by a cosmetic dentist or using take-home kits provided by the dentist. Teeth whitening can dramatically enhance the appearance of your smile, giving you a brighter and more youthful look.

Dental veneers

Dental veneers are wafer-thin, custom-made shells that are bonded to the front surface of the teeth. They are designed to correct various dental imperfections, such as chipped, cracked, or discolored teeth. Veneers provide a natural-looking and durable solution, giving you a flawless smile.

Dental implants

Dental implants are artificial tooth roots that are surgically placed into the jawbone to support replacement teeth. They are a permanent and highly effective solution for replacing missing teeth. Dental implants not only restore functionality but also provide a natural appearance, allowing you to regain your confidence and enjoy a complete smile.

Invisalign

Invisalign is an innovative orthodontic treatment that straightens teeth using a series of clear, removable aligners. These aligners gradually shift the teeth into the desired position, offering a discreet and comfortable alternative to traditional metal braces. Invisalign can correct various orthodontic issues, such as overcrowding, gaps, and misalignment, providing you with a straighter and more harmonious smile.

Cosmetic Dentist In Willy Street Williamson Marquette Madison Wisconsin Wis WI

Choosing the right cosmetic dentist in Willy Street, Williamson, Marquette, Madison, Wisconsin (WI)

Research and referrals

Begin your search for a cosmetic dentist by conducting thorough research. Look for dentists who specialize in cosmetic dentistry in the Willy Street, Williamson, Marquette, Madison, Wisconsin (WI) area. Ask for recommendations from family, friends, or colleagues who have had positive experiences with a cosmetic dentist. Referrals can be a great way to find a trusted and reputable dentist in the local community.

Consultation and evaluation

Once you have narrowed down your options, schedule consultations with the potential cosmetic dentists. Use this opportunity to discuss your goals and expectations, as well as to evaluate the dentist’s communication style and compatibility. Pay attention to how the dentist listens to and addresses your concerns and whether they offer personalized treatment plans tailored to your specific needs.

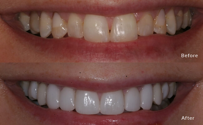
Reviewing before and after photos

Ask the cosmetic dentist to provide before and after photos of their previous patients. By reviewing these photos, you can assess the quality of their work and get a better idea of the potential results they can achieve. Look for patients with similar dental concerns and examine how the dentist was able to enhance their smiles.

Cost and insurance coverage

Consider the cost of the cosmetic dental procedures you are interested in and assess whether they fit within your budget. Inquire about the different payment options available, such as financing plans or dental insurance coverage. A reputable cosmetic dentist will provide transparency regarding the cost of the procedures and help you navigate the financial aspect of your treatment.

Benefits of choosing a local cosmetic dentist in Willy Street, Williamson, Marquette, Madison, Wisconsin (WI)

Convenience

Opting for a local cosmetic dentist offers the convenience of easy accessibility and reduced travel time. When you choose a dentist in the Willy Street, Williamson, Marquette, Madison, Wisconsin (WI) area, you can easily schedule appointments that fit into your daily routine without having to travel long distances. This convenience can make it more feasible for you to prioritize your oral health and stay committed to your cosmetic dental treatment plan.

Accessibility

Choosing a local cosmetic dentist ensures that you have easy access to ongoing care and maintenance after your cosmetic procedures. Regular follow-up visits, cleanings, and check-ups are crucial to maintaining the longevity and aesthetics of your smile. Being in close proximity to your cosmetic dentist allows for easy scheduling of these important appointments and ongoing support.

Local reputation

A local cosmetic dentist, especially one with a positive reputation in the community, is likely to have built strong relationships with patients who can vouch for their services. By choosing a cosmetic dentist with a good local reputation, you can have peace of mind knowing that you are receiving high-quality care and that the results will meet or exceed your expectations.

Continuity of care

Building a long-term relationship with a local cosmetic dentist allows for continuity of care. Your cosmetic dentist will have a comprehensive understanding of your dental history, desired outcomes, and specific needs. This continuity ensures that your future treatments and maintenance plans align with your goals, providing consistent, personalized care throughout your dental journey.

Cosmetic Dentist In Willy Street Williamson Marquette Madison Wisconsin Wis WI

How to prepare for a cosmetic dental procedure

Consultation and evaluation

Before undergoing any cosmetic dental procedure, schedule a consultation with your chosen cosmetic dentist. During this appointment, discuss your desired outcomes, ask any questions you may have, and address any concerns. The dentist will evaluate your teeth, gums, and overall oral health to determine the best course of action for your cosmetic treatment.

Discussing expectations and desired outcomes

Clear communication with your cosmetic dentist about your expectations and desired outcomes is crucial. Be open and honest about what you hope to achieve with your smile makeover. Together, you and the dentist can establish realistic goals and develop a treatment plan that aligns with your expectations.

Oral hygiene and preparation instructions

Your cosmetic dentist will provide you with specific oral hygiene and preparation instructions to follow before your procedure. These instructions may include recommendations for brushing and flossing techniques, any necessary dietary restrictions, and guidance on how to prepare your mouth for the upcoming treatment. It is important to follow these instructions closely to ensure optimal results and minimize the risk of complications.

Potential side effects and recovery

Before undergoing a cosmetic dental procedure, it is crucial to understand the potential side effects and the recovery process involved. Different procedures have different recovery times and potential side effects such as minor discomfort, swelling, or sensitivity. Your cosmetic dentist will provide you with detailed information about what to expect post-procedure and any necessary steps for a smooth recovery.

FAQs about cosmetic dentistry

What are the potential risks of cosmetic dental procedures?

Like any medical procedure, there are potential risks associated with cosmetic dental procedures. However, with an experienced and qualified cosmetic dentist, the risks are minimized. Some possible risks include temporary discomfort, sensitivity, or tooth sensitivity. Your cosmetic dentist will discuss any potential risks with you and take necessary precautions to ensure your safety.

How long do the results of cosmetic dental procedures last?

The longevity of the results of cosmetic dental procedures depends on various factors, such as the specific procedure performed, individual oral hygiene practices, and lifestyle habits. With proper care and maintenance, the results of cosmetic procedures can last for many years. Regular dental visits, diligent oral hygiene practices, and avoiding habits such as smoking or excessive consumption of staining foods and drinks can help prolong the results.

Does insurance cover cosmetic dental procedures?

Cosmetic dental procedures are primarily elective and focus on improving the appearance of the teeth rather than addressing functional issues. Consequently, most dental insurance plans do not cover cosmetic procedures. However, it is always recommended to check with your insurance provider to understand your coverage and any potential reimbursement options.

What is the difference between a cosmetic dentist and a general dentist?

While both cosmetic dentists and general dentists undergo similar basic dental education, cosmetic dentists receive additional training and possess specialized skills in cosmetic procedures. General dentists focus on addressing and maintaining overall oral health, including preventative care, fillings, and extractions. In contrast, cosmetic dentists primarily focus on improving the appearance of the teeth and smile through treatments such as teeth whitening, veneers, and dental implants.

Cosmetic Dentist In Willy Street Williamson Marquette Madison Wisconsin Wis WI

Testimonials from satisfied patients

Patient success stories

“I have always been self-conscious about my crooked teeth, but thanks to the skill and expertise of Dr. Smith, I now have a beautifully straight smile. The transformation has been life-changing, and I can’t thank the team at Willy Street Cosmetic Dentistry enough!”

Before and after transformations

“Before visiting Dr. Johnson at Marquette Cosmetic Dentistry, my teeth were stained and discolored. After undergoing professional teeth whitening, my smile is now several shades lighter and much more vibrant. I am thrilled with the results!”

Impact on quality of life

“Since getting dental veneers from Dr. Thompson at Williamson Cosmetic Dentistry, my confidence has skyrocketed. I can’t believe how much of a positive impact it has had on my professional and personal life. I finally love my smile!”

These testimonies speak to the incredible transformations and positive experiences that patients have had with their chosen cosmetic dentists in the Willy Street, Williamson, Marquette, Madison, Wisconsin (WI) area.

Conclusion

In conclusion, a cosmetic dentist specializes in improving the aesthetic appearance of your smile. They offer a wide range of services, including teeth whitening, dental veneers, dental implants, and Invisalign, to address various cosmetic concerns. Choosing a cosmetic dentist in the Willy Street, Williamson, Marquette, Madison, Wisconsin (WI) area comes with numerous benefits, including convenience, accessibility, a positive local reputation, and continuity of care.

To prepare for a cosmetic dental procedure, it is essential to have a consultation with your dentist, discuss your expectations, and follow any preparation instructions provided. It is common to have questions about cosmetic dentistry, and the FAQs section addresses some of the most frequently asked questions.

Testimonials from satisfied patients demonstrate the life-changing impact that cosmetic dentistry can have on an individual’s confidence and quality of life. By prioritizing oral health and seeking out a local cosmetic dentist, you are taking the first step towards achieving the smile you have always dreamed of. Remember, a beautiful smile not only enhances your appearance but also boosts your self-confidence and overall well-being.

Cosmetic Dentist In Willy Street Williamson Marquette Madison Wisconsin Wis WI

You May Also Like

Editorial & AI Disclosure

Some names, images, or profiles used on this website represent editorial or brand personas and are not depictions of real individuals. Content may be created using a combination of research, editorial oversight, and AI-assisted tools.

Affiliate Disclosure

This website may earn commissions from qualifying purchases through affiliate links. These commissions help support our work at no additional cost to you.

General Disclaimer

Content is for informational purposes only and does not constitute professional advice.